ИСПРАВЛЕНИЕ ПРИКУСА
У ДЕТЕЙ И ВЗРОСЛЫХ

Запись на бесплатную консультацию
Ортодонт Метвей Гусев г Москва
Бесплатная консультация

Бесплатная консультация

Получите исчерпывающую информацию о своем диагнозе и подробную схему лечения.

Европейское качество

Европейское качество

Работаем с оборудованием от ведущих европейских производителей.

Конкурентные цены

Конкурентные цены

Не делаем наценку на оборудование. Фиксированная цена лечения без доплат.

Удобный график

Удобный график

Предварительная запись на удобное для Вас время.

Дружеская атмосфера

Дружеская атмосфера

Доступным языком расскажем и покажем проблему и ее решение.

Поэтапная оплата

Поэтапная оплата

Мы Вас постепенно лечим,
Вы постепенно оплачиваете.

Услуги и цены

Цены указаны ориентировочные. Точная стоимость назначается после консультации.

Лечение на
съемных аппаратах

от 7000 рублей

  • Срок лечения: от 1 до 2,5 лет
  • Возраст: от 6 до 12 лет

Лечение на
брекет-системе

от 90 000 рублей

  • Срок лечения: от 1 до 2,5 лет
  • Возраст: от 12 до 99 лет

Наши работы

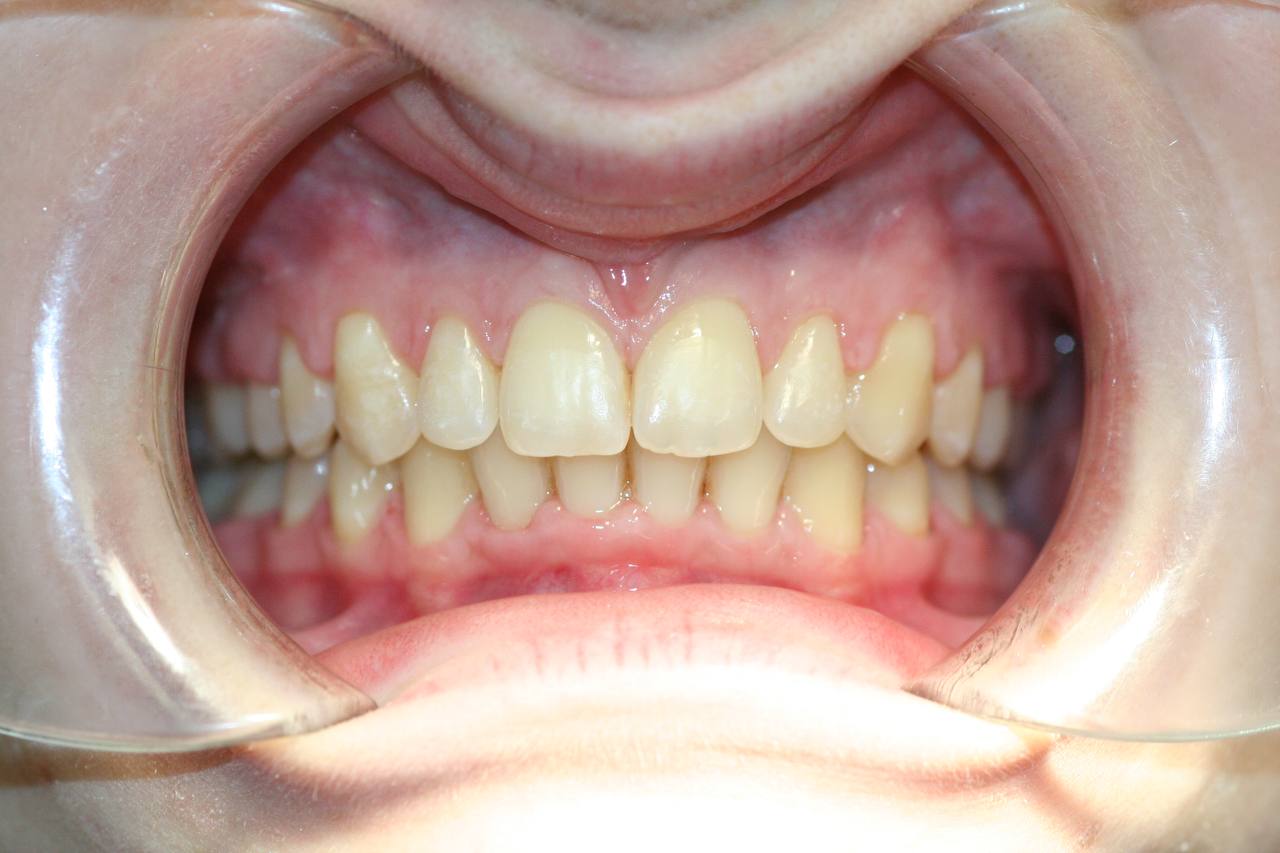
  • Лечение на брекет-системе

    Лечение на брекет-системе

    Срок ношения брекет-системы - 1,5 года. Полировка + последущее ношение капы.

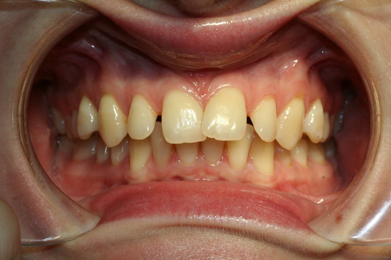
  • Лечение на брекет-системе

    Лечение на брекет-системе

    Срок лечения 1,5 года

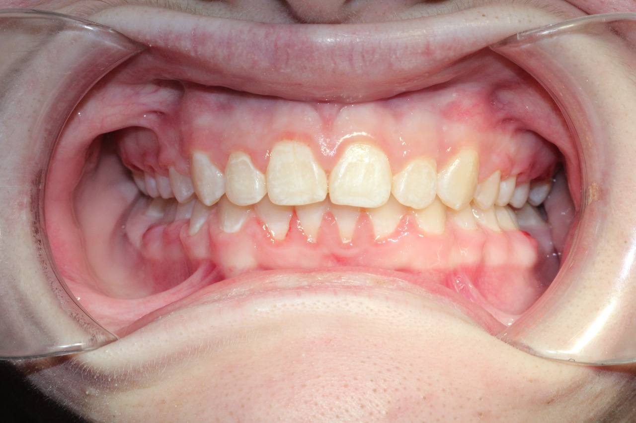
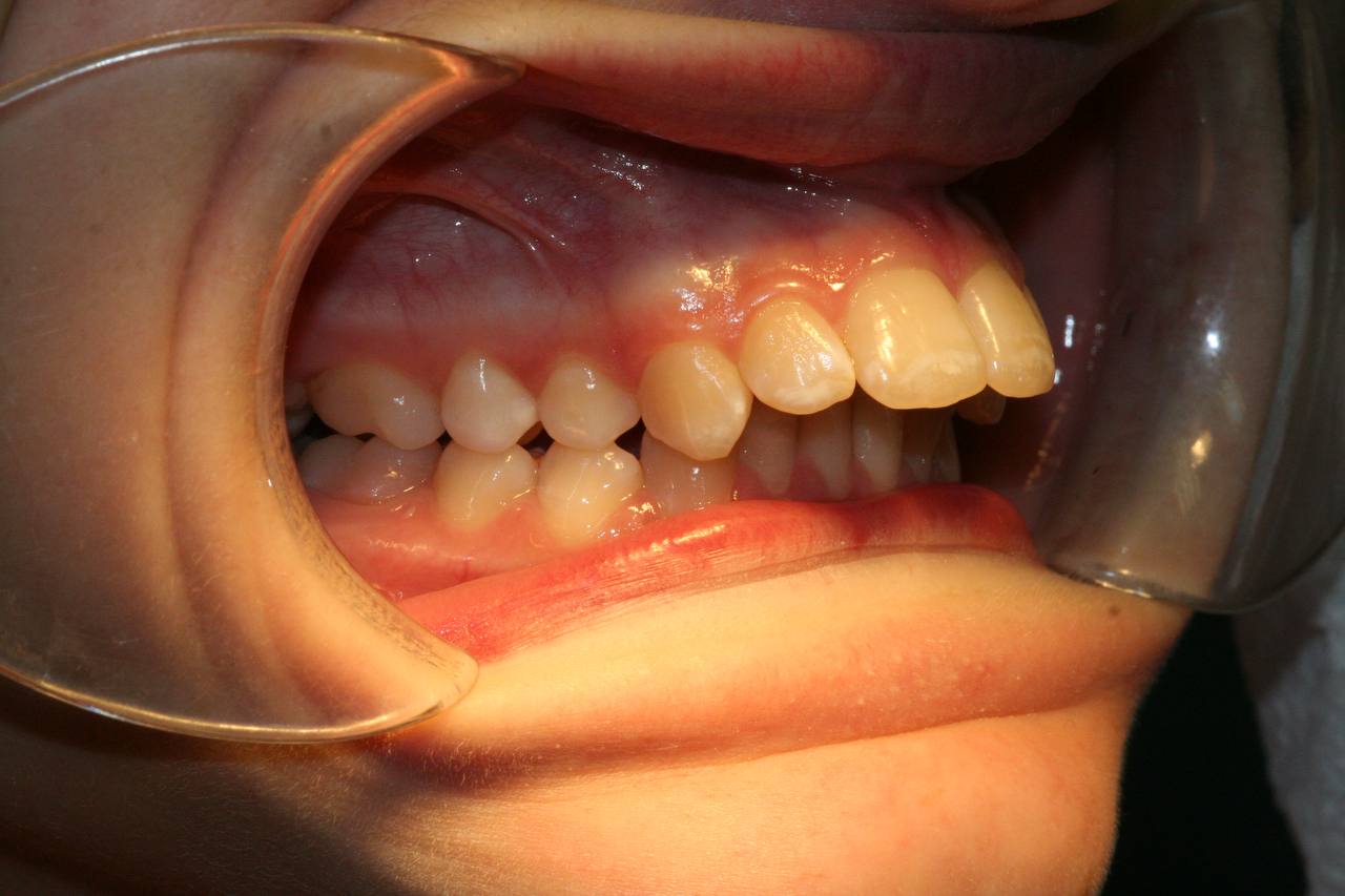
  • Лечение на брекет-системе

    Лечение на брекет-системе

    Срок лечение 1,7 месяцев

Контакты

Будем рады ответить на все интересующие Вас вопросы по телефону,
WhatsApp, а также при личной встрече.
Запись на консультацию
г.Москва, ул. Верхние поля, 18